|
|
|
|
|
Geriatrics:2025年精选文章合集 | MDPI 编辑荐读 |
|
|
期刊名:Geriatrics
期刊主页:https://www.mdpi.com/journal/geriatrics
本期精选了2025年Geriatrics期刊发表的10篇文章,全面展示了该期刊在老年医学领域的前沿研究方向。在脑健康与认知衰退机制方面,研究揭示了促炎性肠道细菌在阿尔茨海默病中的富集现象,为肠脑轴参与神经退行性疾病提供了新证据,并通过分析主观认知下降老年人的认知表现特征,体现了从预防到治疗的研究转变。在老年综合征的管理与评估方面,研究探讨了肌少症对跌倒风险的影响机制,区分了肾脏衰老与慢性肾病在老年贫血中的不同作用,并从流行病学和细胞学角度关注老年鼻炎的特殊性,体现了老年医学从“单病”向“整合”的发展趋势。在健康老龄化与循证干预方面,研究评估了营养摄入对于老年相关疾病的影响,并梳理了初级保健护士所需的老年综合评估核心能力,展示了人工智能、营养干预等在促进健康老龄化中的创新应用。这些研究不仅深化了对衰老过程复杂性的理解,也为构建完善的老年病的预防-治疗-康复体系提供了重要的支撑。
01:Aging Gut-Brain Interactions: Pro-Inflammatory Gut Bacteria Are Elevated in Fecal Samples from Individuals Living with Alzheimer’s Dementia
衰老过程中的肠-脑相互作用:阿尔茨海默病患者粪便样本中促炎性肠道细菌富集
Alessia Donaldson et al.
https://www.mdpi.com/2308-3417/10/2/37

02:Comprehensive Geriatric Health Assessment Core Competencies and Skills for Primary Care Nurses: A Scoping Review
初级保健护士实施老年综合健康评估的核心能力和技能:范围界定综述
Dimitriadou et al.
https://www.mdpi.com/2308-3417/10/2/48

03:Predicting Hospitalization in Older Adults Using Machine Learning
利用机器学习预测老年人住院情况
Buenrostro-Mariscal et al.
https://www.mdpi.com/2308-3417/10/1/6

04:Anemia in Elderly Patients: Contribution of Renal Aging and Chronic Kidney Disease
老年患者贫血:肾脏老化和慢性肾脏病的影响
Santos et al.
https://www.mdpi.com/2308-3417/10/2/43

05:Nutritional Support in the Prevention and Treatment of Pressure Ulcers in Healthy Aging: A Systematic Review of Nursing Interventions in Community Care
健康老龄化背景下营养支持在压疮预防和治疗中的作用:社区护理干预措施的系统评价
Cangelosi et al.
https://www.mdpi.com/2308-3417/10/1/17

06:Preventive Pathways for Healthy Ageing: A Systematic Literature Review
促进健康老龄化的预防措施:系统性文献综述
Masini et al.
https://www.mdpi.com/2308-3417/10/1/31

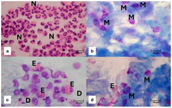
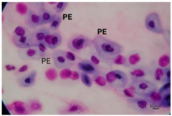
07:Rhinitis in the Geriatric Population: Epidemiological and Cytological Aspects
老年人群鼻炎:流行病学和细胞学特征
Gelardi et al.
https://www.mdpi.com/2308-3417/10/2/50


08:Comprehensive Strategies for Preventive Periodontal Care in Older Adults
老年人牙周预防保健的综合策略
Chan et al.
https://www.mdpi.com/2308-3417/10/3/72

09:Management of Chronic Pain in Elderly Patients: The Central Role of Nurses in Multidisciplinary Care
老年患者慢性疼痛管理:护士在多学科护理中的核心作用
Markovics et al.
https://www.mdpi.com/2308-3417/10/4/110

10:Effects of Twelve Weeks of Square Stepping Exercises on Physical and Cognitive Function and Plasma Content of SMP30: A Randomised Control Trial
十二周方形踏步练习对老年人身体和认知功能以及血浆中SMP30含量的影响:一项随机对照试验
Franco-García et al.
http://www.mdpi.com/2308-3417/10/1/22



期刊简介
Impact Factor: 2.1 (2024) | 2024 CiteScore: 2.5
期刊主编:Prof. Dr. Ralf Lobmann, Clinical Centre Stuttgart—Katharinenhospital, Stuttgart, Germany
Geriatrics (ISSN 2308-3417) 是一个连接各领域专家与学者的跨学科平台,致力于融合老年医学领域的理论框架与临床实践。这本开放获取期刊为所有从事基础研究和医疗保健研究的学者提供成果分享平台,同时鼓励读者群体进行信息交流。目前已被Scopus, ESCI (Web of Science), PubMed, PMC等多个数据库收录。
特别声明:本文转载仅仅是出于传播信息的需要,并不意味着代表本网站观点或证实其内容的真实性;如其他媒体、网站或个人从本网站转载使用,须保留本网站注明的“来源”,并自负版权等法律责任;作者如果不希望被转载或者联系转载稿费等事宜,请与我们接洽。