|
|
|
|
|
脑白质营养不良影像学:破解罕见病诊断困境的 MRI 密钥 |
|
|
期刊名:Medical Sciences
期刊主页:https://www.mdpi.com/journal/medsci
原文链接:https://www.mdpi.com/2076-3271/12/1/7
论文标题:Leukodystrophy Imaging: Insights for Diagnostic Dilemmas
脑白质营养不良是一组罕见且致残的中枢神经系统白质脱髓鞘疾病,临床表现缺乏特异性,极易造成诊断延误。精准识别这类疾病,是实现早期干预、改善患者预后的关键。近期,来自美国佛罗里达大学神经外科系的Brandon Lucke-Wold 教授在Medical Sciences期刊发表综述,系统梳理了 7 种常见脑白质营养不良的影像学特征、遗传机制与诊断策略,为临床破解诊断难题提供了权威参考。
脑白质营养不良以中枢神经系统白质进行性脱髓鞘为核心病理改变,多由单基因突变引发,不同亚型的发病年龄、进展速度与临床表现差异显著。由于这类疾病症状重叠度高,仅依靠临床症状与血液、脑脊液检查难以明确分型,磁共振成像(MRI) 成为诊断、鉴别与病情监测的核心手段。定量 MRI 技术更能直观反映髓鞘、轴索损伤程度,为疾病进展评估提供量化依据。
该综述重点解析了X - 连锁肾上腺脑白质营养不良、异染性脑白质营养不良、克拉伯病、佩梅病、亚历山大病、卡纳万病、Aicardi-Goutières 综合征7 种经典类型,明确了各自的 “影像学指纹” 与诊断标志物。

脑白质营养不良中的主要磁共振成像表现、脑脊液 / 血液标志物及其他关键特征
一、7 种脑白质营养不良核心诊断要点
1. X - 连锁肾上腺脑白质营养不良(最常见)
由 X 染色体 ABCD1 基因突变导致极长链脂肪酸异常蓄积,主要累及男性。
• MRI 特征:胼胝体与顶枕部白质出现融合性高信号病灶,伴随钆增强强化,疾病后期可累及全脑白质;脊髓 MRI 可见皮质脊髓束与后柱变性。
• 辅助检查:血液极长链脂肪酸水平升高,新生儿筛查可早期发现。

X 连锁肾上腺脑白质营养不良的病理生理学机制:X 染色体上 ABCD1基因发生突变,导致极长链脂肪酸(VLCFAs)无法进入过氧化物酶体,进而因极长链脂肪酸在全身蓄积引发相应临床表型。
2. 异染性脑白质营养不良
常染色体隐性遗传,芳基硫酸酯酶 A 缺乏导致硫苷脂蓄积。
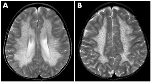
• MRI 特征:早期脑室周围白质对称性脱髓鞘,进展后出现特征性 **“虎纹征” 与 “豹纹征”**,胼胝体压部受累为典型标志。
• 辅助检查:芳基硫酸酯酶 A 活性显著降低,尿硫苷脂升高。

异染性脑白质营养不良的 MRI 表现(A)呈低信号放射状条纹,类似虎皮外观(虎纹征)。(B)呈低信号点状改变,类似豹皮外观(豹纹征)。
3. 克拉伯病(球形细胞脑白质营养不良)
GALC 基因突变致病,婴幼儿期发病凶险。
• MRI 特征:丘脑、皮质下白质异常信号,婴儿型可见视神经与颈髓膨大。
• 辅助检查:脑脊液鞘氨醇蓄积,新生儿筛查是干细胞移植获益的关键。

婴幼儿川崎病筛查的三步流程
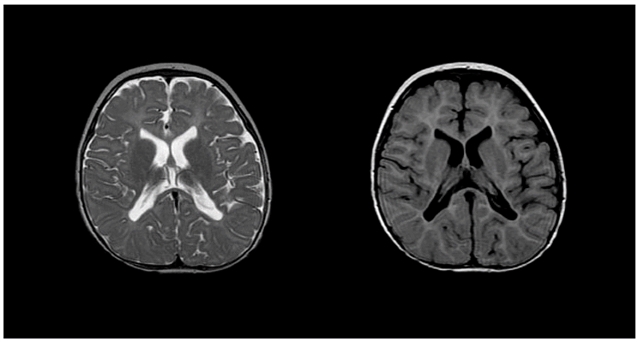
4. 佩梅病
X 连锁隐性遗传,PLP1 基因突变导致髓鞘生成障碍。
• MRI 特征:内囊、放射冠、视辐射区髓鞘缺失,T1 低信号、T2 弥漫高信号。
• 典型症状:眼球震颤、痉挛性瘫痪、共济失调。

佩梅病患者的 T2(左)与 T1(右)MRI 图像显示内囊、近侧放射冠及视辐射区域髓鞘发育缺失。
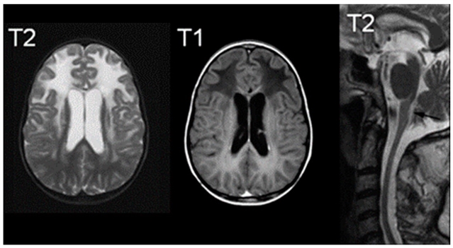
5. 亚历山大病
GFAP 基因突变导致罗森塔尔纤维形成,额叶白质受累为主。
• MRI 诊断标准:满足广泛额叶白质异常、脑室周围边缘信号改变、基底节与丘脑受累、脑干异常、病灶强化 5 项中 4 项即可确诊。
• 辅助检查:脑脊液 GFAP 水平升高。

亚历山大病典型的磁共振成像表现;右侧图像显示 T2 信号增高,中间图像显示 T1 信号减低,右侧图像为 T2 中线矢状位切面,可见萎缩征象
6. 卡纳万病
常染色体隐性遗传,ASPA 基因突变致 N - 乙酰天冬氨酸蓄积。
• MRI 特征:皮质下 U 纤维弥漫性 T2 高信号,伴巨头畸形。
• 鉴别要点:磁共振波谱 NAA 显著升高,可与亚历山大病区分。
7. Aicardi-Goutières 综合征
神经炎症性疾病,酷似先天性宫内感染。
• MRI 特征:脑室周围白质丢失、基底节与齿状核钙化,胼胝体变薄、脑室扩大。
• 辅助检查:脑脊液干扰素 -α、新蝶呤升高。
二、诊断核心逻辑:多维度联合判定
脑白质营养不良的诊断无法依靠单一检查完成,需临床表型 + 影像学特征 + 基因检测 + 生化指标四维结合:
1. MRI 为分型金标准:凭借特异性病灶分布、信号特点,快速区分不同亚型;
2. 基因测序提速诊断:NGS、全外显子测序可精准定位致病基因;
3. 定量 MRI 前瞻应用:NODDI、髓鞘水分数成像等新技术,可更早发现隐匿病灶。
三、临床意义与未来展望
目前多数脑白质营养不良尚无根治方法,早期诊断、早期干预是改善预后的唯一核心路径。新生儿筛查、多模态影像学评估、多学科协作诊疗,正逐步构建起这类罕见病的全流程管理体系。
未来,随着新型定量 MRI 技术的普及、基因治疗与干细胞移植研究的推进,脑白质营养不良的诊断精度与治疗效果将持续提升。本综述为临床医生、科研人员搭建了系统的诊断参考框架,助力罕见脑白质病精准诊疗,为更多患者点亮希望。
Medical Sciences 期刊介绍
主编:Prof. Dr. Antoni Torres, Universidad de Barcelona, Spain
发表关于疾病分子和细胞过程的原始研究、评论文章和简短通讯,以增加对医学基本原理和生物学问题的理解。
|
2024 Impact Factor
|
4.4
|
|
2024 Citescore
|
8.7
|
|
Time to First Decision
|
18.7 Days
|
|
Acceptance to Publication
|
2.8 Days
|
特别声明:本文转载仅仅是出于传播信息的需要,并不意味着代表本网站观点或证实其内容的真实性;如其他媒体、网站或个人从本网站转载使用,须保留本网站注明的“来源”,并自负版权等法律责任;作者如果不希望被转载或者联系转载稿费等事宜,请与我们接洽。