
哈佛医学院Taru Muranen团队宣布他们的论文发现了癌症相关成纤维细胞通过NDRG1介导的R环加工调节胰腺癌的DNA修复。2026年4月27日出版的《自然—细胞生物学》发表了这项成果。
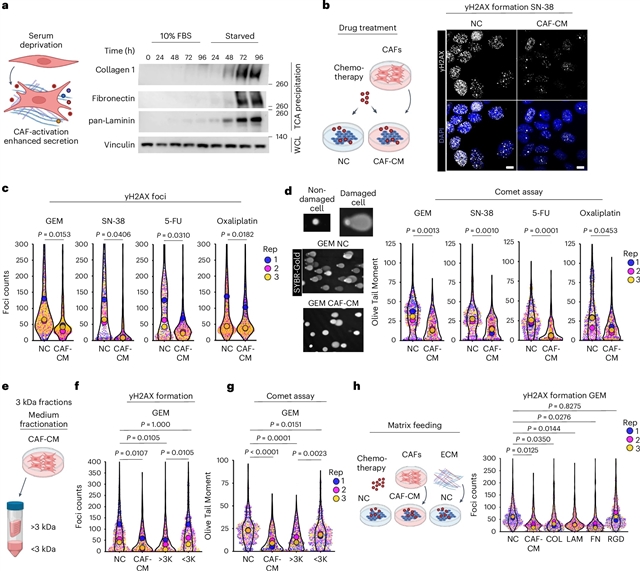
在这里,该团队展示了caf分泌的ECM蛋白与增强的DNA修复之间意想不到的联系。研究人员发现NDRG1 (N-myc下游调节基因1)是通过粘附受体、血清和糖皮质激素激活激酶感知ECM信号的关键介质。课题组研究人员确定NDRG1是一种DNA修复因子,它与复制叉物理相关,维持DNA复制,解决化疗引起的停滞叉,并参与减少R环,即已知的引起基因组不稳定性的RNA-DNA杂交种。NDRG1在PDAC肿瘤中高表达,其高表达与较差的疾病特异性生存和对化疗的不良反应相关。总之,他们的数据揭示了CAF分泌的ECM蛋白在通过NDRG1促进DNA修复中的意想不到的作用,将肿瘤基质与复制叉稳态和R环调节机械地联系起来。
研究人员表示,胰腺导管腺癌(PDACs)是侵袭性的,富含基质的肿瘤。它们对治疗没有反应,而且患者在接受破坏DNA的化疗后会很快复发。PDAC基质由细胞外基质蛋白(ECM)组成,由癌症相关成纤维细胞(CAFs)分泌。
附:英文原文
Title: Cancer-associated fibroblasts regulate DNA repair in pancreatic cancer through NDRG1-mediated R-loop processing
Author: Kozlova, Nina, Cruz, Kayla A., Ruzette, Antoine A., Doh, Hanna M., Willis, Nicholas A., Hong, Su Min, Gonzalez, Raul S., Vyas, Monika, Selfors, Laura M., Dreyer, Stephan, Upstill-Goddard, Rosie, Faia, Kerrie L., Wenglowsky, Steve, Close, Josh, Beutel, Alica, Jutric, Zeljka, Oliphant, Michael U. J., Poluben, Larysa, Thapa, Byanjana, Taylor, Martin S., Mustonen, Venla, Mangalath, Pradeep, Halbrook, Christopher J., Grossman, Joseph E., Hwang, Rosa F., Clohessy, John G., Ruskamo, Salla, Kursula, Petri, Petrova, Boryana, Kanarek, Naama, Cole, Philip A., Chang, David K., Evans, Conor L., Nrrelykke, Simon F., Scully, Ralph, Muranen, Taru
Issue&Volume: 2026-04-27
Abstract: Pancreatic ductal adenocarcinomas (PDACs) are aggressive, stroma-rich tumours. They are unresponsive to treatments, and patients relapse quickly on DNA-damaging chemotherapies. PDAC stroma consists of extracellular matrix proteins (ECM), secreted by cancer-associated fibroblasts (CAFs). Here we show an unexpected link between CAF-secreted ECM proteins and enhanced DNA repair. We identify NDRG1 (N-myc downstream-regulated gene 1) as a key mediator that senses signals from the ECM via adhesion receptors and serum and glucocorticoid-activated kinase. We establish NDRG1 as a DNA repair factor that physically associates with replication forks, maintains DNA replication, resolves stalled forks caused by chemotherapies and is involved in reducing R-loops, RNA–DNA hybrids known to cause genomic instability. NDRG1 is highly expressed in PDAC tumours and its high expression correlates with poor disease-specific survival and poor response to chemotherapy. In conclusion, our data reveal an unexpected role for CAF-secreted ECM proteins in promoting DNA repair via NDRG1, mechanistically linking tumour stroma to replication fork homeostasis and R-loop regulation.
DOI: 10.1038/s41556-026-01938-4
Source: https://www.nature.com/articles/s41556-026-01938-4
Nature Cell Biology:《自然—细胞生物学》,创刊于1999年。隶属于施普林格·自然出版集团,最新IF:28.213
官方网址:https://www.nature.com/ncb/
投稿链接:https://mts-ncb.nature.com/cgi-bin/main.plex
