|
|
|
|
|
Veterinary Sciences-硬脑膜切除术及非合成硬脑膜替代物治疗脊髓蛛网膜下腔憩室10例疗效观察 |
|
|
论文标题:Surgical Outcomes of Laminectomy, Durotomy and a Non-Synthetic Dura Substitute Application in Ten Dogs with a Spinal Subarachnoid Diverticulum
论文链接:https://www.mdpi.com/2306-7381/11/3/128
期刊名:Veterinary Sciences
期刊主页:https://www.mdpi.com/journal/vetsci
引言
脊髓蛛网膜下腔憩室(SAD)是蛛网膜下腔的液性扩张,可压迫脊髓导致脊髓病。该病在犬中较为常见,大型犬多发于颈椎,小型犬多发于胸腰椎,拳师犬、法国斗牛犬和罗威纳犬等品种高发。其病因可能涉及遗传、先天性因素、生物力学异常及并发脊柱疾病。典型临床表现包括进行性共济失调和后肢轻瘫,通常不伴脊柱疼痛。
MRI是一种的诊断方法。目前关于SAD的兽医数据多来自小样本病例报告,对品种、性别、年龄分布及并发脊柱异常的认识仍有限。手术治疗效果优于内科治疗,但术后神经功能缺损复发率较高。
本研究回顾性分析了10例采用相同手术方案(椎板切除术联合硬膜切开,并使用非合成硬脑膜替代物Durepair)的SAD患犬,旨在描述其信号特征、病史、临床表现及影像学发现,并通过长期随访评估临床结局。

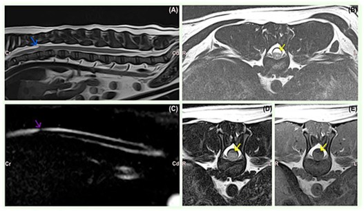
法国斗牛犬,8个月,雄性
讨论
本研究回顾性分析了10例接受手术治疗并应用硬脑膜替代物Durepair的脊髓蛛网膜下腔憩室(SAD)患犬,报道了该材料在犬脊髓中贴敷应用的临床效果。Durepair是一种牛源性胶原移植物,具有良好的生物相容性,可促进血管化和组织重塑。本研究中采用无缝合贴敷方式,避免了缝合相关的炎症反应和脑脊液渗漏风险。
手术疗效方面,所有患犬术后均获长期改善(>9个月),其中7例完全恢复、3例部分恢复,优于内科治疗(仅30%改善)。文献报道手术治疗总体改善率为66%-82%,但术后神经功能缺损复发时间中位数为20.5个月。本研究的结局可能归因于硬膜切开解除压迫联合Durepair修复,恢复硬膜正常解剖,防止脑脊液异常积聚。
病例特征显示,法国斗牛犬(4例)和巴哥犬(3例)最为常见,提示遗传因素。病变部位与品种相关:罗威纳犬多见于颅颈段,小型犬多见于胸腰段(T7-L1)。典型MRI表现为蛛网膜下腔梭形扩张,部分病例并发椎间盘突出或椎体畸形。影像学检查在巴哥犬中还发现尾关节突发育不良。
本研究局限性包括病例数较少、回顾性设计、缺乏保守治疗对照及术后MRI验证,结论尚需进一步研究证实。
结论
对患有 SAD 的犬进行手术治疗并使用硬脑膜替代物,显著改善了其神经状况,并且未出现任何重大并发症或病情恶化的情况。进行椎板切除术,随后进行硬脑膜切开术并应用硬脑膜替代物,可被视为治疗此病症的一种安全且有效的方法。作者认为,使用硬脑膜替代物覆盖硬脑膜手术缺损有助于促进脑膜和脊髓实质的再生。硬脑膜修复应用能够消除并减少脑脊液积聚或渗漏、减少周围组织与硬脑膜及脊髓之间进一步的粘连,并防止继发性脊髓受压。有效的硬脑膜保护可能会带来更好的手术效果。
Veterinary Sciences 期刊介绍
主编:Patrick Butaye, Ghent University, Belgium; City University of Hong Kong, China
发表与兽医科学领域相关的原创研究文章、评论、通讯和简短说明,主题包括动物疾病、紊乱和损伤的预防、诊断和治疗。
|
2024 Impact Factor
|
2.3
|
|
2024 CiteScore
|
3.5
|
|
Time to First Decision
|
17.8 Days
|
|
Acceptance to Publication
|
2.6 Days
|
特别声明:本文转载仅仅是出于传播信息的需要,并不意味着代表本网站观点或证实其内容的真实性;如其他媒体、网站或个人从本网站转载使用,须保留本网站注明的“来源”,并自负版权等法律责任;作者如果不希望被转载或者联系转载稿费等事宜,请与我们接洽。