|
|
|
|
|
全甲状腺切除术后甲状腺肿患者阻塞性睡眠呼吸暂停的缓解:病例报告| MDPI Reports |
|
|
论文标题:The Resolution of Obstructive Sleep Apnea in a Patient with Goiter after Total Thyroidectomy: A Case Report
论文链接:https://www.mdpi.com/2571-841X/7/4/83
期刊名:Reports — Clinical Practice and Surgical Cases
期刊主页:https://www.mdpi.com/journal/reports
一、引言
阻塞性睡眠呼吸暂停(OSA)的特征是睡眠期间反复出现上呼吸道完全或部分阻塞的发作。其在普通人群中的患病率在9%到38%之间。肥胖是OSA的主要风险因素,部分解释了其在社会中日益普遍的原因。事实上,脂肪组织在上呼吸道周围的积累增加了其塌陷率,并加重了OSA的严重程度。阻塞性呼吸暂停症的其他风险因素包括年龄、男性、扁桃体肥大以及导致上呼吸道狭窄的颅面异常。
甲状腺功能减退与OSA相关,主要由于黏多糖沉积和蛋白质渗出到面部、舌头和咽部组织,导致上呼吸道狭窄。甲状腺肿在OSA发生中与甲状腺功能无关的含义尚不明确。小病例系列报告甲状腺肿患者甲状腺切除术后OSA症状有所改善。然而,他们的发现需要验证,还需进一步观察以确定甲状腺肿是否可被视为OSA的风险因素。
二、病例报告
一名66岁患有甲状腺肿、计划全甲状腺切除手术的女性因怀疑OSA被转诊至突尼斯拉拉布塔大学医院肺科进行术前呼吸评估。
患者有八年多结节甲状腺肿相关的甲状腺功能亢进病史。她接受了硫胺唑和普萘洛尔治疗。此外,她还患有肥胖、高血压、血脂异常和2型糖尿病等共病,并伴有中度慢性肾衰竭。患者还有下肢创伤手术史,导致身体活动受限。
由于甲状腺肿的进展及其压迫性,最近建议进行全甲状腺切除术。患者在手术前通过药物实现了甲状腺功能正常。然而,术前麻醉评估时怀疑OSA,STOP-BANG评分为6。因此,在进行甲状腺手术前,被认为有必要进行专业的呼吸评估。
在呼吸评估中,未发现家族史或生活方式习惯(如饮酒和吸烟)为OSA的风险因素。然而,患者身体活动受限,可能加重肥胖,而肥胖是OSA的公认风险因素。患者表示,她此前从未就过OSA或其他睡眠障碍的症状咨询过医生。但进一步询问后,患者报告称睡眠时出现打鼾但未窒息或喘息,且白天极度嗜睡(Epworth嗜睡量表评分:21/24)。此外,她还抱怨夜间频繁排尿(每晚3-4次)、睡眠无恢复作用、晨间疲劳和早晨头痛。
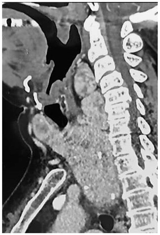
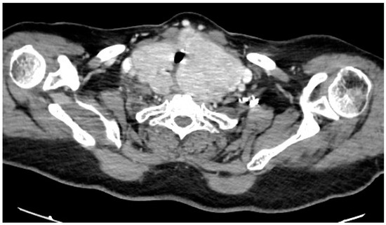
体格检查显示患者身高149厘米,体重84公斤,BMI为37.8 kg/m2(归类为肥胖:BMI ≥ 30)。她的颈周测量为49厘米,位于颈椎中部与前颈部之间。上呼吸道检查显示Mallampati评分为4,临床上明显有大型甲状腺肿,未观察到颅面异常。检查时甲状腺下缘无法触及。然而,颈部和胸腔的计算机断层扫描(CT)确认甲状腺多节增大,伴有咽后部扩张、胸骨下肿大和气管压迫,且无显著脱位。呼吸障碍监测显示严重阻塞性呼吸暂停(OSA),AHI为每小时32次事件(归类为严重OSA:AHI≥30),主要表现为阻塞性低通气。
术前呼吸管理后,患者接受了新的耳鼻喉科上呼吸道内镜检查,显示擧绳类压迫伴有水肿,且两声带活动正常。随后,在突尼斯拉拉布塔大学医院耳鼻喉科进行了全身麻醉下的全甲状腺切除术。术后,患者报告了声音质量的轻微变化。对切除甲状腺的宏观检查显示尺寸增大,右叶7×5 × 3厘米,左叶12 × 7 × 5厘米,地峡3×2厘米。组织学分析确认无恶性肿瘤。患者接受了左甲状腺素替代疗法,剂量为125微克/天。
在比较某些人体测量、临床和多睡眠图发现时,OSA的表型差异显著。鉴于OSA主要与肥胖和高龄相关,预计患者在全甲状腺切除术后将继续接受OSA和CPAP治疗的随访。然而,令人惊讶的是,患者在甲状腺手术后OSA症状完全改善,同时吞咽困难也有所缓解。因此,她选择停止CPAP治疗。此外,患者家属报告甲状腺手术后打鼾减少,使用Epworth嗜睡量表评估白天嗜睡得分为1/24。值得注意的是,除了甲状腺切除术外,未观察到患者的体重、生活方式或医疗状况或治疗方法的变化来解释OSA症状的缓解。
全甲状腺切除术后无CPAP进行呼吸道测谎显示AHI显著下降,达到正常值(AHI <5),夜间SpO水平正常2.这些发现强烈表明甲状腺手术后OSA有望缓解。此外,骶髂关节显著下降,睡眠姿势的变异性几乎与甲状腺切除术前相同。
最终,基于临床和多重数据的医学决策,批准停止患者使用CPAP治疗,同时实施卫生和饮食措施。不过,患者之后还会接受随访和重新评估。


三、讨论
在此案例中,结论是大型、压迫性的多结节甲状腺肿是OSA的成因。事实上,全甲状腺切除术后OSA的缓解是完全的,临床和多项数据显示,且与体重减轻或特定疾病或治疗变化无关。
虽然甲状腺肿通常不被认为是阻塞性呼吸暂停(OSA)的原因,但一些病例报告称甲状腺切除术后甲状腺肿患者OSA症状有所改善。然而,这一改善有时仅基于临床标准评估,缺乏客观参数如AHI,以确定甲状腺切除术后OSA的缓解。此外,甲状腺切除术后OSA的改善程度存在差异,可能受初始OSA严重程度及高龄或肥胖等其他促成因素影响。
本病例报告在甲状腺切除术前后均进行了呼吸监测与临床评估。该方法能够确认OSA诊断、评估其严重程度,并客观评估患者在甲状腺手术后的情况。甲状腺切除术后AHI的下降支持了OSA的缓解,该症状看似完全,因此得出结论:甲状腺肿确实是本例OSA的致病因素。值得注意的是,除了甲状腺切除术外,未发现其他明显因素能解释OSA的缓解。
四、结论
该病例报告表明,大型且压迫性的甲状腺肿是OSA的风险因素,而OSA可通过全甲状腺切除术解决。因此,在评估OSA患者时,应通过常规实验室检测和影像技术(如超声)临床考虑甲状腺。此外,OSA在甲状腺肿的背景下可被怀疑,而与甲状腺功能无关。然而,需要利用上呼吸道评估技术(如DISE)进行前瞻性研究,以准确评估甲状腺肿对OSA发生及其特征的影响,考虑甲状腺肿大的大小和局部延伸。
Reports—Clinical Practice and Surgical Cases期刊介绍
主编:Prof.Dr. Toshio Hattori, Tohoku University, Japan
Reports—Clinical Practice and Surgical Cases(ISSN 2571-841X)是一个国际同行评审、开放获取的医学期刊,主要发表医学全学科的病例报告。Reports被多个知名学术数据库收录,包括Web of Science的ESCI、PubMed等。
2025 Impact Factor:0.6
Time to First Decision:21 Days
特别声明:本文转载仅仅是出于传播信息的需要,并不意味着代表本网站观点或证实其内容的真实性;如其他媒体、网站或个人从本网站转载使用,须保留本网站注明的“来源”,并自负版权等法律责任;作者如果不希望被转载或者联系转载稿费等事宜,请与我们接洽。