
美国Dana-Farber波士顿儿童癌症和血液疾病中心Mariella G. Filbin课题组的研究开发出了幕上室管膜瘤异质性的多维分析。2026年3月11日出版的《自然》发表了这项成果。
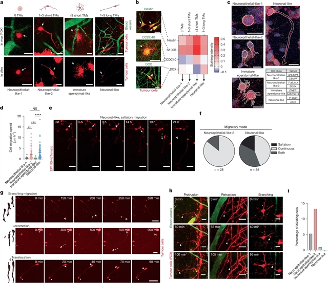
在这里,该课题组研究人员整合了单细胞和空间转录组学,以及体外和体内活细胞成像,来定义幕上室管膜瘤细胞状态、空间组织和神经微环境中的动态行为。研究人员发现单个肿瘤亚群具有两种不同的祖细胞样细胞状态——神经上皮样和胚胎样——这让人想起早期人类大脑发育,并且在神经元或室管膜分化的程度上存在分歧。
该课题组人员进一步确定了这些肿瘤的几种空间组织模式,包括受间质和缺氧特征影响的高阶结构,以及局部邻近结构。最后,研究小组确定了脑驻留细胞在幕上室管膜瘤细胞异质性向神经元样细胞转变中的作用,神经元样细胞选择未成熟的神经元形态和迁移机制,以及神经上皮样细胞的一个子集,既具有增殖性,又具有高度迁移性。总的来说,这些发现提供了一个多维框架来整合幕上室管膜瘤肿瘤异质性的转录和表型特征及其潜在的临床意义。
研究人员表示,幕上室管膜瘤是侵袭性儿童脑癌,保留神经发育细胞类型的特征,并分离成分子和临床不同的亚群,提示不同的发育根源。每个幕上室管膜瘤亚组的发育特征、微环境因素、潜在的异常细胞转化和行为尚不清楚。
附:英文原文
Title: Multidimensional profiling of heterogeneity in supratentorial ependymomas
Author: Jeong, Daeun, Danielli, Sara G., Maa, Kendra K., Ghasemi, David R., Tetzlaff, Svenja K., Reyhan, Ekin, Jiang, Li, Katiyar, Shashank, Sundheimer, Julia K., Lo Cascio, Costanza, Neyazi, Sina, de Biagi-Junior, Carlos Alberto Oliveira, Couvillon, Elsa, Castellani, Sophia, Pazyra-Murphy, Maria, Mullally, Matthew, Dehler, Marc Philipp, Englinger, Bernhard, Nascimento, Andrezza, Cruzeiro, Gustavo Alencastro Veiga, Marques, Joana G., Haase, Rebecca D., Nguyen, Cuong M., Baumgartner, Alicia-Christina, Rozowsky, Jacob S., Hack, Olivia A., Shaw, McKenzie L., Lotsch-Gojo, Daniela, Bruckner, Katharina, Korshunov, Andrey, Pfister, Stefan M., Kool, Marcel, Nowakowski, Tomasz J., Gojo, Johannes, Baird, Lissa, Alexandrescu, Sanda, Pajtler, Kristian W., Venkataramani, Varun, Filbin, Mariella G.
Issue&Volume: 2026-03-11
Abstract: Supratentorial ependymomas are aggressive childhood brain cancers that retain features of neurodevelopmental cell types1 and segregate into molecularly and clinically distinct subgroups2,3, suggesting different developmental roots. The developmental signatures, as well as microenvironmental factors, underlying aberrant cellular transformation and behaviour across each supratentorial ependymoma subgroup are unclear. Here we integrated single-cell and spatial transcriptomics, as well as in vitro and in vivo live-cell imaging, to define supratentorial ependymoma cell states, spatial organization and dynamic behaviour within the neural microenvironment. We find that individual tumour subgroups have two distinct progenitor-like cell states—neuroepithelial-like and embryonic-like—that are reminiscent of early human brain development and diverge in the extent of their neuronal or ependymal differentiation. We further identify several modes of spatial organization of these tumours, including a high-order architecture that is influenced by mesenchymal and hypoxia signatures, and local neighbourhood structures. Finally, we identify a role for brain-resident cells in shifting supratentorial ependymoma cellular heterogeneity towards neuronal-like cells that co-opt immature neuronal morphology and migratory mechanisms, and a subset of neuroepithelial-like cells that are both proliferative and highly migratory. Collectively, these findings provide a multidimensional framework to integrate transcriptional and phenotypic characterization of tumour heterogeneity in supratentorial ependymoma and its potential clinical implications.
DOI: 10.1038/s41586-026-10214-2
Source: https://www.nature.com/articles/s41586-026-10214-2
Nature:《自然》,创刊于1869年。隶属于施普林格·自然出版集团,最新IF:69.504
官方网址:http://www.nature.com/
投稿链接:http://www.nature.com/authors/submit_manuscript.html
